Required
Current Patients: (702) 737-3553 New Patients: (702) 737-3553
Nevada0-Dental-Esthetics
  • About
    • Affordability
    • For New Patients
    • Dental Tourism
    • Reviews
  • Dr. Paez
  • Cosmetic Dentistry
    • Dental Bonding
    • Dental Implants
    • Full Mouth Reconstruction
    • Invisalign
    • Laser Dentistry
    • Porcelain Inlay & Onlay Fillings
    • Smile Makeover
    • Teeth Whitening
    • Tooth Colored Fillings
    • Tooth Discoloration Treatment
    • Porcelain Veneers
    • LOCATOR FIXED® Dentures in Las Vegas
  • General Dentistry
    • Dental Crowns & Bridges
    • Emergency Dentistry
    • Family Dentistry
    • Missing Teeth Implants & Bridges
    • Periodontal Therapy
    • Root Canal Treatment
    • Sleep Apnea Treatment
    • Smile Maintenance
    • Guided Biofilm Therapy
  • Smile Gallery
  • Blog
  • Contact
search-icon
search-icon
Book Your Appointment
Nevada0-Dental-Esthetics
  • About
    • Affordability
    • For New Patients
    • Dental Tourism
    • Reviews
  • Dr. Paez
  • Cosmetic Dentistry
    • Dental Bonding
    • Dental Implants
    • Full Mouth Reconstruction
    • Invisalign
    • Laser Dentistry
    • Porcelain Inlay & Onlay Fillings
    • Smile Makeover
    • Teeth Whitening
    • Tooth Colored Fillings
    • Tooth Discoloration Treatment
    • Porcelain Veneers
    • LOCATOR FIXED® Dentures in Las Vegas
  • General Dentistry
    • Dental Crowns & Bridges
    • Emergency Dentistry
    • Family Dentistry
    • Missing Teeth Implants & Bridges
    • Periodontal Therapy
    • Root Canal Treatment
    • Sleep Apnea Treatment
    • Smile Maintenance
    • Guided Biofilm Therapy
  • Smile Gallery
  • Blog
  • Contact
Smile Gallery Before and After
Home » Smile Gallery » Dental Implant – Patient M.B

Dental Implant – Patient M.B

Case ID: 3
View Angle: Front
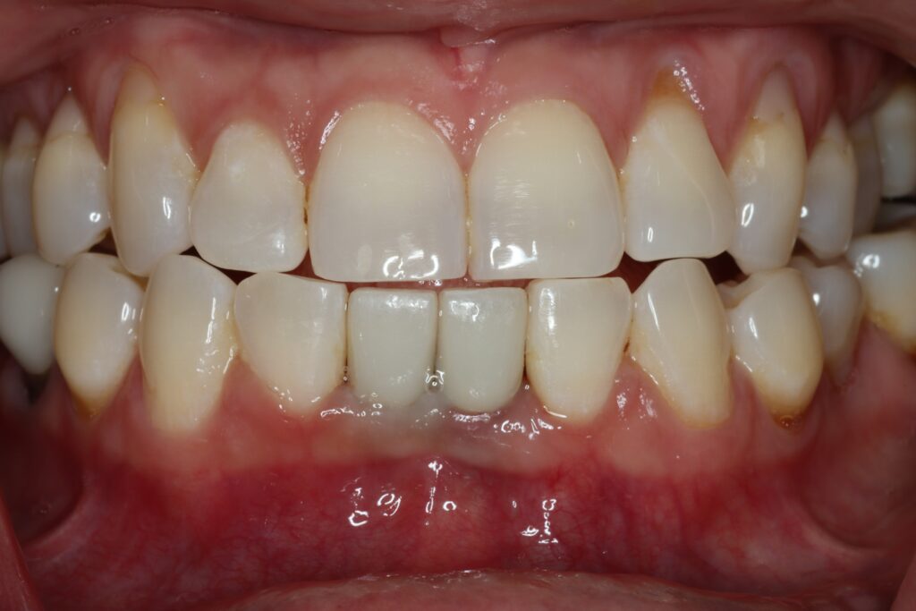
DentalImplants-Before-MB
Before
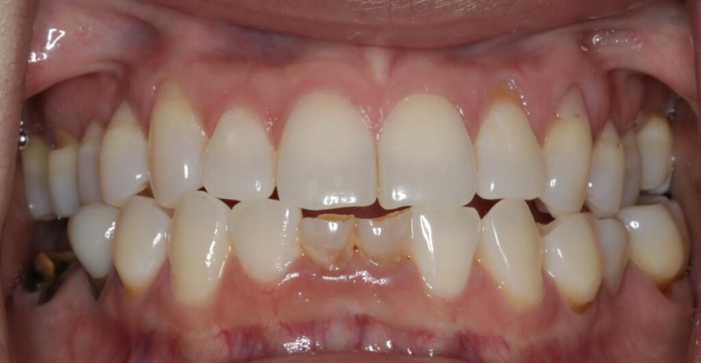
DentalImplants-After-MB
After
Nevada0-Dental-Esthetics
  • facebook
  • google
  • Instagram
  • youtube
OUR LOCATION

Nevada Dental Esthetics

Nevada Dental Esthetics N/a
5864 S. Durango Drive
Suite 100
Las Vegas, NV
89113
Get Directions
(702) 737-3553
contact info
call-icon
Current Patients: (702) 737-3553
New Patients: (702) 737-3553
OFFICE HOURS
Mon - Thurs: 8:00am - 5:00pm
Fri: 8:00am - 2:00pm
QUICK LINKS
  • Cosmetic Dentistry
  • General Dentistry
  • Guided Biofilm Therapy
  • Affordability & Financing
  • Smile Gallery
  • Blog
© Copyright 2026 Nevada Dental Esthetics.
Accessibility Terms of Use Sitemap Privacy Policy