Required
Current Patients: (702) 737-3553
New Patients: (702) 737-3553
About
Affordability
For New Patients
Dental Tourism
Reviews
Dr. Paez
Cosmetic Dentistry
Dental Bonding
Dental Implants
Full Mouth Reconstruction
Invisalign
Laser Dentistry
Porcelain Inlay & Onlay Fillings
Smile Makeover
Teeth Whitening
Tooth Colored Fillings
Tooth Discoloration Treatment
Porcelain Veneers
LOCATOR FIXED® Dentures in Las Vegas
General Dentistry
Dental Crowns & Bridges
Emergency Dentistry
Family Dentistry
Missing Teeth Implants & Bridges
Periodontal Therapy
Root Canal Treatment
Sleep Apnea Treatment
Smile Maintenance
Guided Biofilm Therapy
Smile Gallery
Blog
Contact
Book Your Appointment
About
Affordability
For New Patients
Dental Tourism
Reviews
Dr. Paez
Cosmetic Dentistry
Dental Bonding
Dental Implants
Full Mouth Reconstruction
Invisalign
Laser Dentistry
Porcelain Inlay & Onlay Fillings
Smile Makeover
Teeth Whitening
Tooth Colored Fillings
Tooth Discoloration Treatment
Porcelain Veneers
LOCATOR FIXED® Dentures in Las Vegas
General Dentistry
Dental Crowns & Bridges
Emergency Dentistry
Family Dentistry
Missing Teeth Implants & Bridges
Periodontal Therapy
Root Canal Treatment
Sleep Apnea Treatment
Smile Maintenance
Guided Biofilm Therapy
Smile Gallery
Blog
Contact
Smile Gallery Before and After
Home
»
Smile Gallery
Before & After
Gallery
Individual results may vary.
View All
Dental Bonding
Dental Implant
Full Mouth Reconstruction
Veneers
Zoom Whitening
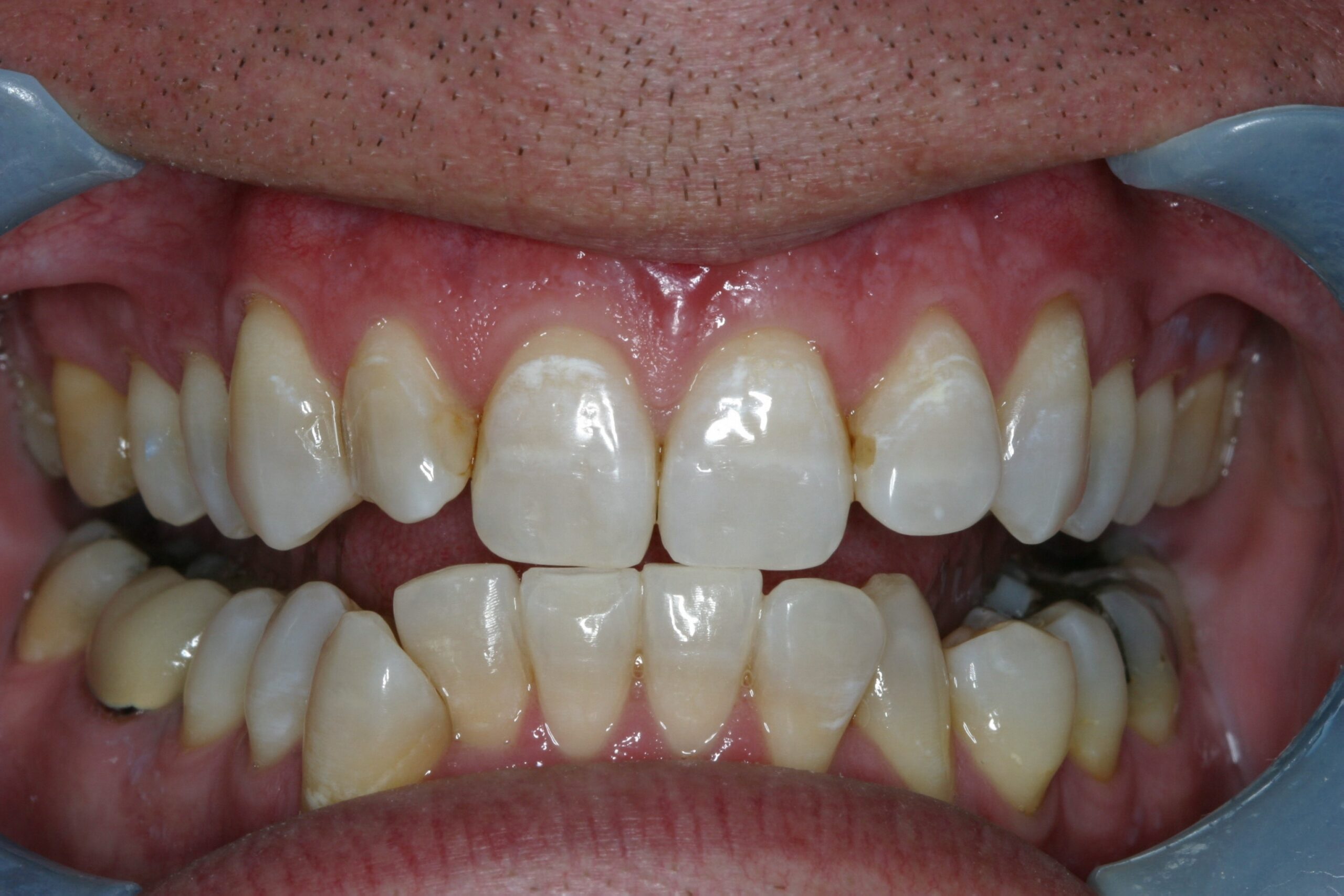
Zoom Whitening
Before
After
Click the arrow to see the After result
View More
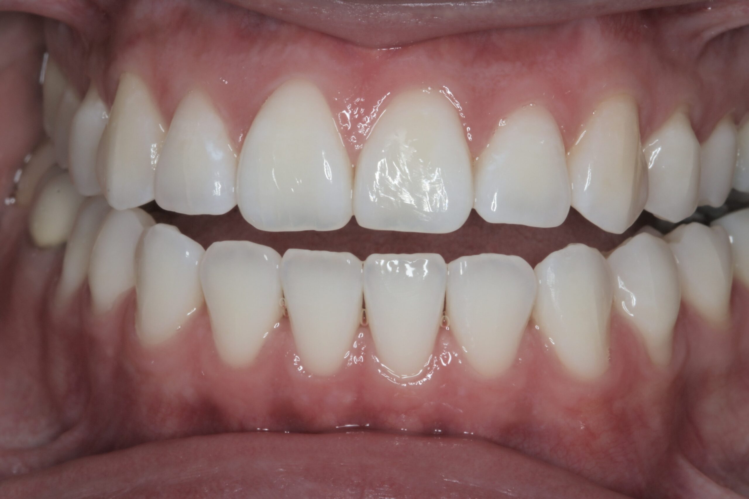
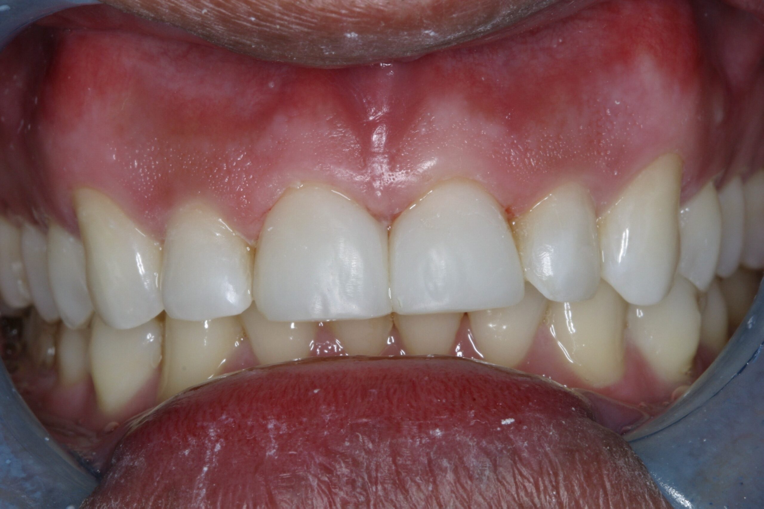
Dental Veneers – Patient X.R
Before
After
Click the arrow to see the After result
View More
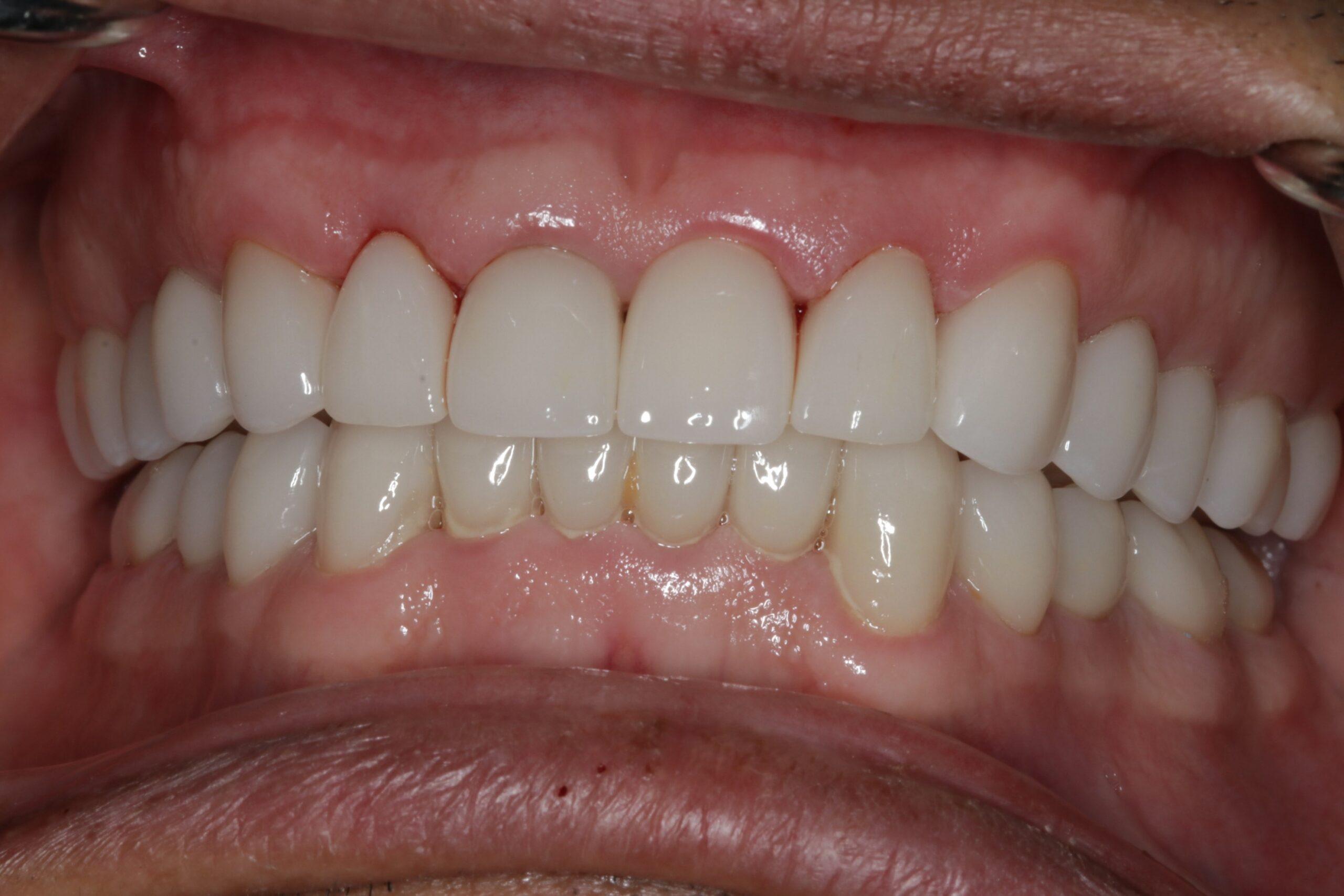
Dental Veneers – Patient R.G
Before
After
Click the arrow to see the After result
View More
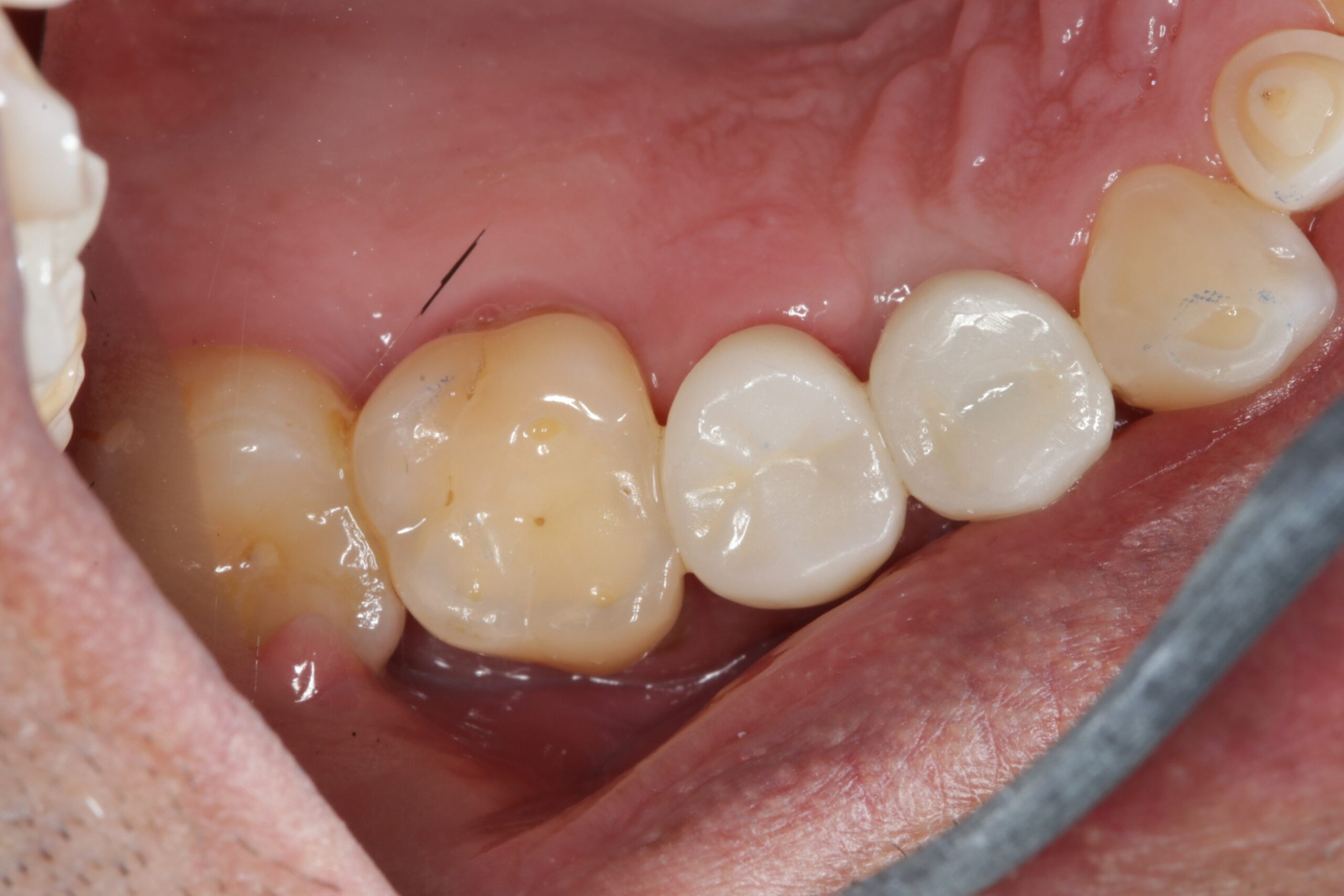
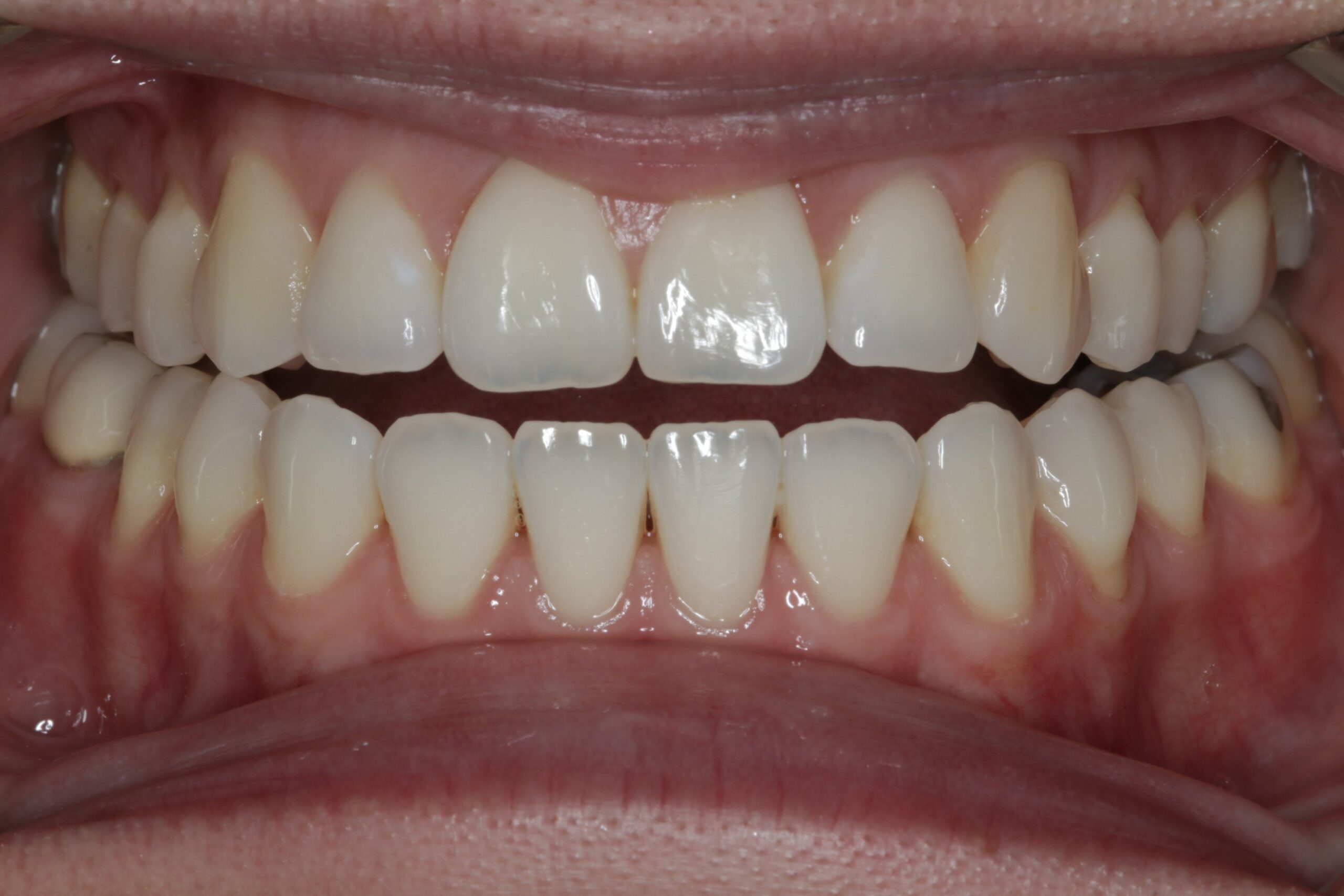
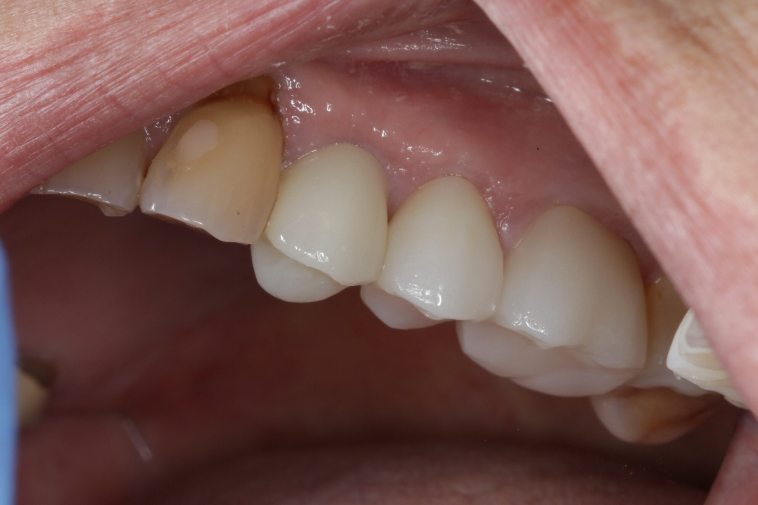
Dental Implant Veneers – Patient S.M
Before
After
Click the arrow to see the After result
View More
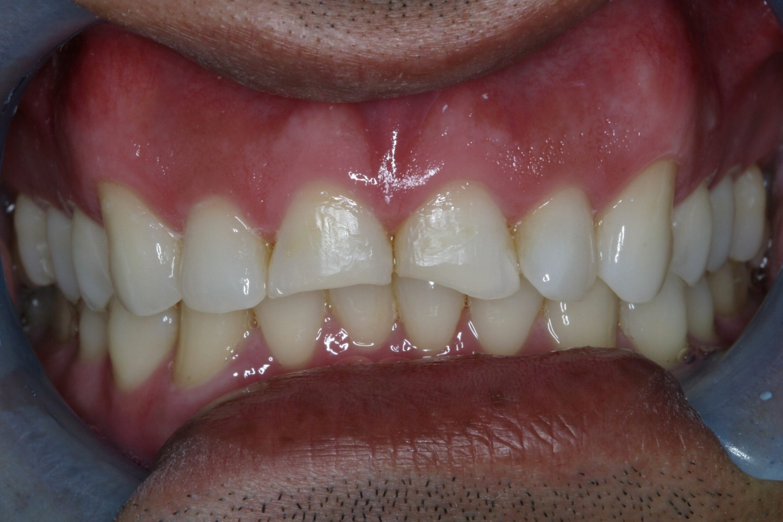
Zoom Whitening – Patient L.Z
Before
After
Click the arrow to see the After result
View More
Full Mouth Reconstruction – Patient C.V
Before
After
Click the arrow to see the After result
View More
Full Mouth Reconstruction – Patient C.V
Before
After
Click the arrow to see the After result
View More
Dental Veneers – Patient N.B
Before
After
Click the arrow to see the After result
View More
Dental Veneers – Patient M.W
Before
After
Click the arrow to see the After result
View More
Dental Veneers – Patient A.C
Before
After
Click the arrow to see the After result
View More
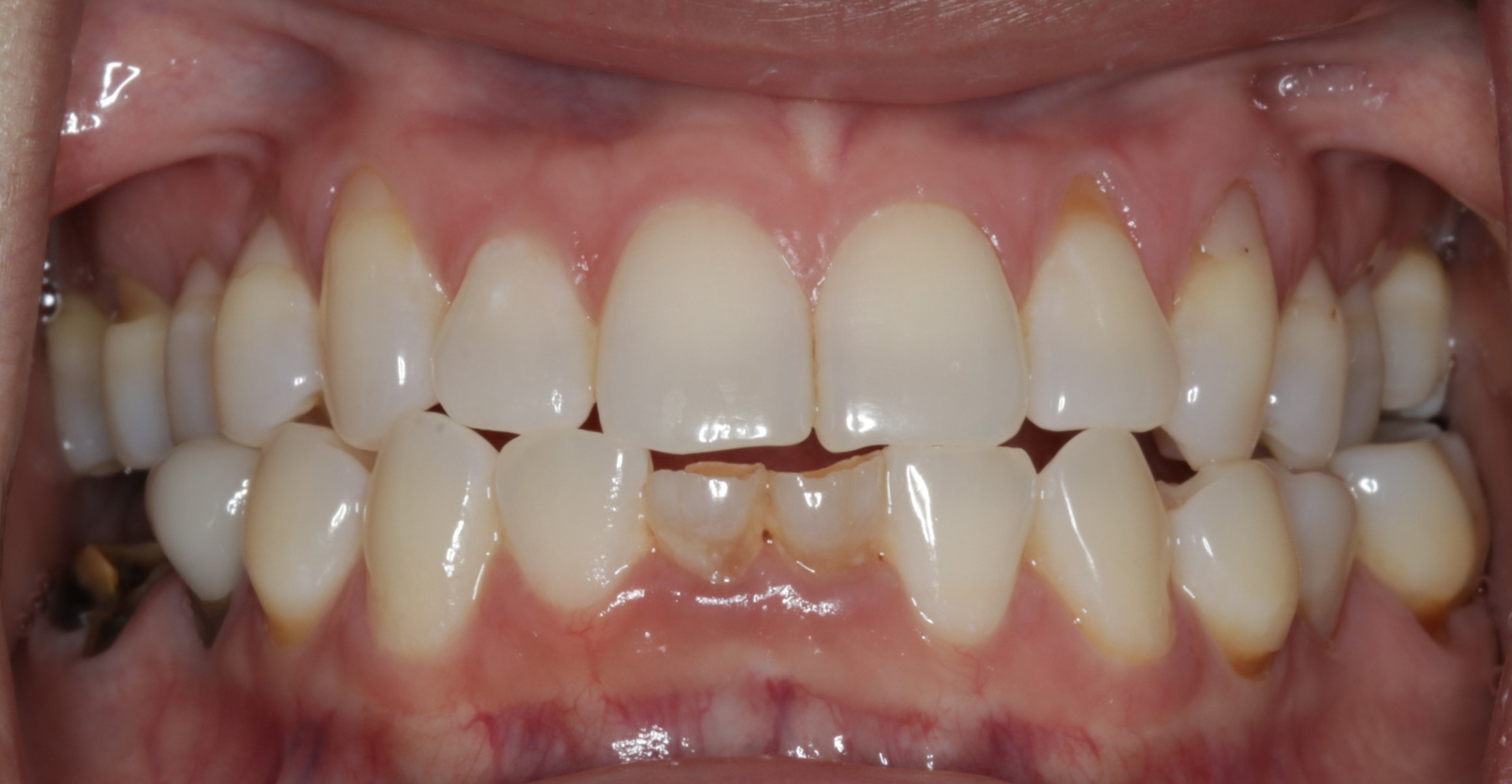
Dental Implant – Patient M.B
Before
After
Click the arrow to see the After result
View More
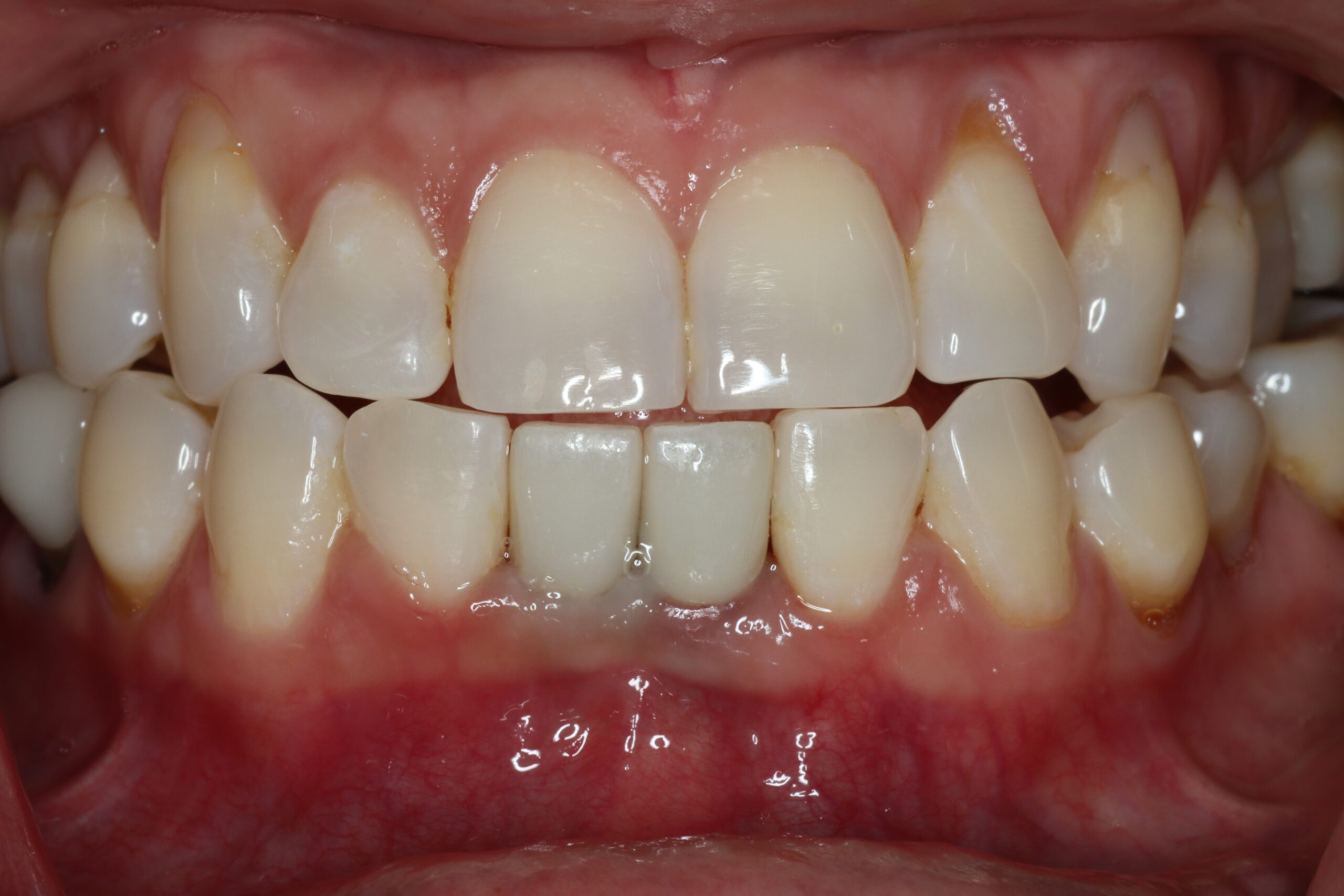
Dental Implant – Patient L.P
Before
After
Click the arrow to see the After result
View More
Posts pagination
1
2
Next
Bonding
Before
After
Click the arrow to see the After result
View More
Posts pagination
1
2
Next
Dental Implant Veneers – Patient S.M
Before
After
Click the arrow to see the After result
View More
Dental Implant – Patient M.B
Before
After
Click the arrow to see the After result
View More
Dental Implant – Patient L.P
Before
After
Click the arrow to see the After result
View More
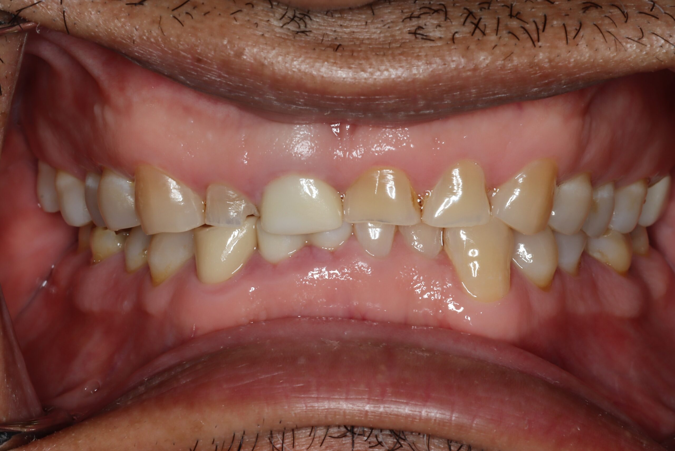
Dental Implant – Patient E.M
Before
After
Click the arrow to see the After result
View More
Posts pagination
1
2
Next
Full Mouth Reconstruction – Patient C.V
Before
After
Click the arrow to see the After result
View More
Full Mouth Reconstruction – Patient C.V
Before
After
Click the arrow to see the After result
View More
Posts pagination
1
2
Next
Dental Veneers – Patient X.R
Before
After
Click the arrow to see the After result
View More
Dental Veneers – Patient R.G
Before
After
Click the arrow to see the After result
View More
Dental Implant Veneers – Patient S.M
Before
After
Click the arrow to see the After result
View More
Dental Veneers – Patient N.B
Before
After
Click the arrow to see the After result
View More
Dental Veneers – Patient M.W
Before
After
Click the arrow to see the After result
View More
Dental Veneers – Patient A.C
Before
After
Click the arrow to see the After result
View More
Posts pagination
1
2
Next
Zoom Whitening
Before
After
Click the arrow to see the After result
View More
Zoom Whitening – Patient L.Z
Before
After
Click the arrow to see the After result
View More
Posts pagination
1
2
Next
Contact Us
Today
Current Patients
702-737-3553
New Patients:
702-737-3553
Book Your Appointment
4.9
Based on 423 reviews
powered by
G
o
o
g
l
e
We care about your privacy and would never sell your information. By submitting this form, you agree to our Privacy Policy and acknowledge that we use reCAPTCHA to prevent spam. This means Google's Privacy Policy and Terms of Service also apply.